来自家长对衷德的评价(小俊妈妈)
发布时间:2026-05-26
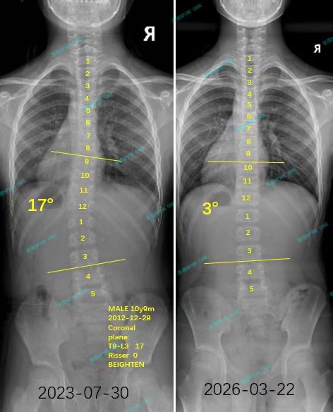
作者:上海衷德
阅读量:181




——————————————————————————●——————————————————————————

More details:https://www.dianping.com/shop/H7sLY25jNkrsXOpL
衷德脊柱,我们只关注侧弯保守治疗~
Zhongde Spine, bending no breaking ~