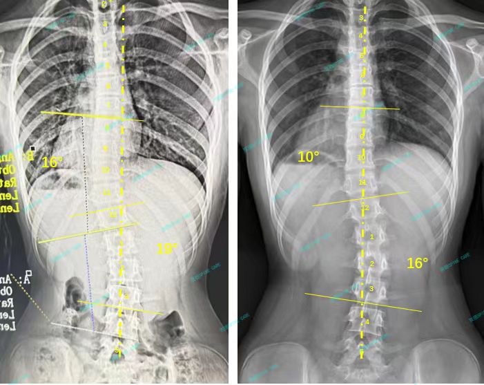
我是小逸,16度降到10度,感谢杨博士治好了我加重的胸弯!
案例主人:小逸 发现侧弯年龄:13岁 侧弯情况:Cobb角测19°
大家好,我是小逸,今年13岁。半年前我确诊了脊柱侧弯之后,就立马在医院里配了支具,我怕自己的身体越来越歪,所以每天都坚持戴着支具,戴满20个小时,有时候甚至更久。可是戴了半年的支具再次拍片却发现我的脊柱侧弯没有好转,反而从10度加重到了16度!这对我和爸妈来说都是晴天霹雳。这半年的煎熬都白费了。
Hello everyone, I am Xiaoyi, 13 years old this year. After I was diagnosed with scoliosis half a year ago, I immediately got a brace in the hospital. I was afraid that my body would become more and more crooked, so I insisted on wearing the brace every day for about 20 hours, sometimes even longer. However, after wearing the brace for half a year, I took another x-ray and found that my scoliosis did not improve. Instead, it worsened from 10 degrees to 16 degrees! This was a bolt from the blue for my parents and me. All six months of suffering have been in vain.

幸运的是,妈妈在网上找到了衷德脊柱,杨博士对脊柱侧弯非常专业,很多和我一样大的小朋友都治好了,而且身体也看起来很挺拔,所以爸爸妈妈决定让我再来衷德训练试试。
Fortunately, my mother found Zhongde Scoliosis Clinic and Research Center online. Dr. Yang is very professional in scoliosis. Many children my age have been cured and their bodies look very straight, so my parents decided to let me train again.

杨博士给我做了一系列的评估,给我制定了一个三个月的纯训练、不戴支具的治疗方案,我也认真对待每次的康复训练,康复师会鼓励我,最后一个月我有点坚持不住了是Lily老师鼓舞了我,让我重新充满动力,事实证明坚持就会成功的。
Dr. Yang gave me a series of evaluations and formulated a three-month treatment plan for pure training with no brace. I also took every rehabilitation training seriously. The rehabilitation therapist would encourage me. In the last month, I almost couldn't hold on anymore. Teacher Lily inspired me and made me re-motivated. Facts proved that if you persisted, you would succeed.
三个月训练后的x片显示我的胸弯从16度降到了10度,腰弯从19度降到了16度,身体看起来也比以前直了,我和爸爸妈妈都很开心,我还会继续坚持在这里训练,直到完全恢复正常。
X-rays after three months of training showed that my chest bend had dropped from 16 degrees to 10 degrees, my waist bend had dropped from 19 degrees to 16 degrees, and my body looked straighter than before. My parents and I were very happy. I will continue to train here until I fully return to normal.
谢谢杨博士,谢谢所有的康复师老师~
Thank you Dr. Yang, thank you to all the rehabilitation therapists ~